ไว้คราวหน้า X
ไว้คราวหน้า X
ไม่ต้องแสดงข้อความนี้อีกเลย
ไปหน้าที่ 1, 2
ไปที่หน้า
GO
ตั้งกระทู้ใหม่
ฝากรูป
ผู้ตั้ง
ข้อความ
ออฟไลน์
ดาวเตะลา ลีกา
Status: Secretary Kim is My Wife
: 0 ใบ : 0 ใบ
เข้าร่วม: 14 Aug 2012
ตอบ: 3371
ที่อยู่:
โพสเมื่อ: Fri Apr 03, 2026 14:24
ปรึกษาเรื่อง ทำฟัน ครับ
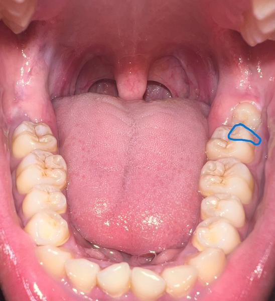
เมื่อ 2 อาทิตย์ก่อน ฟันกรามใหญ่ด้านในของผมแตกไป 1 ใน 4 ส่วน ตามรูปตัวอย่างที่ผมวงสีน้ำเงินคือส่วนที่แตก (รูปตัวอย่างหามาจากในเน็ตครับ)

ผมเลยรีบหาคลีนิกแถวบ้าน อยู่ตรงโลตัสพระราม 1 แล้วไปทำการรักษา พอคุณหมอเห็น ก็ให้ไป X Ray ฟันตรงนั้น ปรากฎว่า ฟันมันแตกหายไปเกือบถึงรากฟัน คุณหมอบอกต้องปักเดือยรักษารากฟันและครอบฟัน ค่าใช้จ่ายประมาณ 30,000 บาท บอกตรง ๆ ครับ ตรงนี้เหงื่อตกเหมือนกัน กับราคา และผมไม่รู้มันจะจบที่ ราคานี้ไหม

ผมเลยคุยกับหมอ เบื้องต้นทำการอุดฟันที่เป็นรูก่อน ตอนนี้ก็อุดเรียบร้อยแล้ว และหมอบอกว่า เหมือนว่าน่าจะมีรอยลึกไปถึงรากฟัน ยังไงก็ควรมารักษารากฟันและครอบฟันนะ แต่ต้องผ่าฟันคุดออกก่อน (เหมือนในรูปเลยครับ ฟันคุดอยู่ติดฟันกรามแบบในรูปเลย) ผ่าฟันคุดประมาณ 3,500 - 4,000 แล้วแต่เคส เบื้องต้นผมรับทราบ และบอกว่าถ้าพร้อมจะมาผ่าออกครับ
ทีนี้ด้วยราคาที่เขาแจ้ง ผมก็พยายามหาที่อื่นไม่ว่าจะเป็นคลีนิคอื่น หรือ รพ. ที่พอจะช่วยค่าใช้จ่ายให้มันถูกลงได้บ้างผมก็หาคณะทันตะ ตาม มหาวิทยาลัย แต่บางคนก็บอกดี และไม่ดีปนกัน อีกอย่างจะใช้เวลาค่อนข้างมาก เพราะถ้าจะเอาถูกๆ ก็ต้องให้ นศ. แพทย์ เป็นคนทำ ซึ่งก็คงไม่แย่ แต่พอดูราคาแล้ว ไม่แน่ใจว่ามันถูกจริงไหม เพราะที่ผมหาเจอราคาก็ไม่ได้ต่างกับคลีนิกข้างนอกเท่าไหร่

แต่ทีนี้ผมไปเจอ รพ. บ้านแพ้ว สาขาสาทร มีคลีนิคทันตะ และสามารถใช้สิทธิเบิกได้อยู่บ้าง แต่ผมไม่รู้ว่าทีนี้ดีไหม และถ้าไปคงต้องไปเล่ารายละเอียดกับหมอใหม่หมดเลย

เลยอยากสอบถามทุกท่านว่า มีใครเคยรักษาฟันที่คลีนิคทันตะ บ้านแพ้ว ที่สาทร ไหมครับ มันดีหรือไม่ครับ
หรือผมควรรักษาที่คลีนิคทำฟัน ที่เดิมที่ผมไปคุยตั้งแต่แรกดีครับ หรือมีใครมีที่แนะนำไหมครับ หรือคนใน SS ใครเป็นหมอฟันไหมครับ แนะนำด้วยครับ

ขอบคุณทุกความเห็นครับ

0
0
หากโดน 40 เรื้อน จะถูกแบน
โหวตเป็นกระทู้แนะนำ
ออฟไลน์
ซุปตาร์ยูโร
Status:
: 0 ใบ : 0 ใบ
เข้าร่วม: 03 Nov 2024
ตอบ: 5906
ที่อยู่:
โพสเมื่อ: Fri Apr 03, 2026 14:33
Re: ปรึกษาเรื่อง ทำฟัน ครับ
ผมเคยฟันแตกแบบที่ท่านวงเด๊ะเลยครับ

ตอนอุดแม่งทรมานชิบหาย เขาเอาเหล็กมาครอบๆโคตรเจ็บเหงือกเลย จับที่นอนซะเป็นรอย เป็นหลุมหมดเลยผม

กินหัวปลาดุก ฟันแตกเลย

ทุกวันนี้ก็ยังอยุ่ รู้สึกโชคดีไปเลยที่ไม่แตกถึงรากแบบท่าน

ผมเคยได้ยินโรงบาลรัฐทำพวกแนวๆนี้ประมาณ 4-6 พันบาท แต่รอคิวแบบ ชาติหน้าตอนบ่ายๆได้ทำ ได้ยินทันตาพิบาลเล่านะ

ทุกวันนี้เลิกกินของแข็ง เลิกเคี้ยวน้ำแข็งเลย
โพสต์บน Soccersuck V2(Beta)
1
0
หากโดน 40 เรื้อน จะถูกแบน


ออนไลน์
XWB
แข้งเจลีก
Status:
: 0 ใบ : 0 ใบ
เข้าร่วม: 01 Jun 2016
ตอบ: 6108
ที่อยู่: Eisenacher str.
โพสเมื่อ: Fri Apr 03, 2026 14:33
Re: ปรึกษาเรื่อง ทำฟัน ครับ
ก่อนอื่นถอนฟันคุดก่อนครับ ปัญหาใหญ่
มันจะคอยดันรากฟันที่หัก

ถ้าเสร็จก็รักษารากฟันครับแล้วทำครอบครับ ถึงจะแพงแต่เชื่อผมเถอะว่าคุ้มจ่าย

ผมเคยทำที่สถาบันทันตกรรม ถูกมากๆ ต่ำกว่าราคาตลาด30% แต่ตอนนั้นผมเป็นคนไข้ของเพื่อนตอนเรียนต่อ ทำโครตนานเพราะต้องรออาจารย์ตรวจ
โพสต์บน Soccersuck V2(Beta)
1
0
หากโดน 40 เรื้อน จะถูกแบน
ออนไลน์
GNR
อบรมขอไลเซนส์
Status:
: 0 ใบ : 0 ใบ
เข้าร่วม: 23 Nov 2020
ตอบ: 10732
ที่อยู่:
โพสเมื่อ: Fri Apr 03, 2026 14:37
Re: ปรึกษาเรื่อง ทำฟัน ครับ
30 หมื่น ถือว่า ราคา มาตราฐานแล้วครับ ถ้าไม่อยากเสียเงิน ก็ต้องถอนไปเลยครับ ถ้าตัดใจได้ก็ถอนครับ

อีกวิธี คือ รักษาตามตามคลินิคทันตกรรม ของมหาลัย เช่นมหิดล หรือของที่จุฬางี้ แต่เห็นว่าคิวยาวจัด
โพสต์บน Soccersuck V2(Beta)
1
0
หากโดน 40 เรื้อน จะถูกแบน
ออฟไลน์
ดาวเตะลา ลีกา
Status: Secretary Kim is My Wife
: 0 ใบ : 0 ใบ
เข้าร่วม: 14 Aug 2012
ตอบ: 3371
ที่อยู่:
โพสเมื่อ: Fri Apr 03, 2026 14:41
[RE: ปรึกษาเรื่อง ทำฟัน ครับ]
XWB พิมพ์ว่า:
ก่อนอื่นถอนฟันคุดก่อนครับ ปัญหาใหญ่
มันจะคอยดันรากฟันที่หัก

ถ้าเสร็จก็รักษารากฟันครับแล้วทำครอบครับ ถึงจะแพงแต่เชื่อผมเถอะว่าคุ้มจ่าย

ผมเคยทำที่สถาบันทันตกรรม ถูกมากๆ ต่ำกว่าราคาตลาด30% แต่ตอนนั้นผมเป็นคนไข้ของเพื่อนตอนเรียนต่อ ทำโครตนานเพราะต้องรออาจารย์ตรวจ  


ไปทำในเวลาหรือนอกเวลาครับท่าน
0
0
หากโดน 40 เรื้อน จะถูกแบน
ออนไลน์
XWB
แข้งเจลีก
Status:
: 0 ใบ : 0 ใบ
เข้าร่วม: 01 Jun 2016
ตอบ: 6108
ที่อยู่: Eisenacher str.
โพสเมื่อ: Fri Apr 03, 2026 14:43
Re: ปรึกษาเรื่อง ทำฟัน ครับ
Skydragoon พิมพ์ว่า:
[quote="XWB":o5zsl5vqn3]ก่อนอื่นถอนฟันคุดก่อนครับ ปัญหาใหญ่
มันจะคอยดันรากฟันที่หัก

ถ้าเสร็จก็รักษารากฟันครับแล้วทำครอบครับ ถึงจะแพงแต่เชื่อผมเถอะว่าคุ้มจ่าย

ผมเคยทำที่สถาบันทันตกรรม ถูกมากๆ ต่ำกว่าราคาตลาด30% แต่ตอนนั้นผมเป็นคนไข้ของเพื่อนตอนเรียนต่อ ทำโครตนานเพราะต้องรออาจารย์ตรวจ[/quote:o5zsl5v...  

ของผมไปทำในเวลาเลยครับ

คนที่ทำให้ก็จบหมอฟันแล้วนะครับ แค่มาเรียนต่อ
พวกรักษาราก,ครอบ,วีเนียร์ ลองติดต่อไปดูก่อนนะครับ
โพสต์บน Soccersuck V2(Beta)
1
0
หากโดน 40 เรื้อน จะถูกแบน
ออนไลน์
โค้ช T-License
Status:
: 0 ใบ : 0 ใบ
เข้าร่วม: 12 Oct 2009
ตอบ: 34400
ที่อยู่:
โพสเมื่อ: Fri Apr 03, 2026 14:47
[RE: ปรึกษาเรื่อง ทำฟัน ครับ]
ลองไปปรึกษา คลินิก อื่นดูก่อนก็ได้ครับ

บอกแตกถึงราก จะได้รู้ว่าถึงรากจริงมั้ย

second opinion / third opinion สำคัญ เอาไว้ประกอบการตัดสินใจ

แล้วเราก็ตัดสินใจอีกที

ค่า รักษาราก+เดือย + ครอบ ถ้าลงถึงรากจริงๆ Survival rate การที่ทำแล้วจะใช้งานได้ 10-20 ปีมั้ย

ถ้าไม่


ถอนออกแล้วปักรากเทียม อาจจะคุ้มเงินกว่า (กรณีมองถึงความคุ้มค่า) เพราะเสียตัง พอๆกัน

กรณีฟันแตกถึงรากเนี่ย จริงๆเผลอๆต้อง ตัดเหงือกกรอกระดูกด้วย เพื่อเพิ่มความยาวตัวฟัน ให้ทำครอบได้ด้วย (Crown lengthening)


แต่ไม่ได้เห็นกับตา ก็พูดยากครับ เลยแนะนำว่า ลองตรวจหลายๆที่ดูก่อน เดียวนี้ส่วนใหญ่ตรวจฟรี ไม่ก็เสียค่าเปิดเซ็ทตรวจ 50-100 บาท
แก้ไขล่าสุดโดย chonbodee เมื่อ Fri Apr 03, 2026 14:52, ทั้งหมด 1 ครั้ง
1
0
หากโดน 40 เรื้อน จะถูกแบน
ออฟไลน์
นักบอลถ้วย ก.
Status:
: 0 ใบ : 0 ใบ
เข้าร่วม: 14 Aug 2012
ตอบ: 4793
ที่อยู่: BKK Thailand.
โพสเมื่อ: Fri Apr 03, 2026 14:50
Re: ปรึกษาเรื่อง ทำฟัน ครับ
ทำเหอะครับ.
ถ้าไม่ทำก็ต้องถอนออก.
ซึ่งมันจะเร่งกระบวนการเหงือกร่น กระดูกกรามยุบ และกรามเปราะครับ.
ผมไม่ใช่หมอนะครับ แต่มีปัญหาคล้ายๆกันแต่หนักกว่าหน่อยตรงฟันกรามในสุดแตกกลางลึกมาก มันทำให้อุดหรือครอบไม่ได้เลยครับ.
ต้องรอมันแตกโพละแล้วก็ถอนไม่ก็รากเทียม เลยได้คุยกะหมอมาครับ.

แค่ไม่กี่หมื่น หารกะเวลาที่ได้ใช้ฟันแบบสบายใจและปัญหาที่ได้เลี่ยงแล้วผมว่าคุ้มสุดๆครับ ตกแล้วอาจเหลือแค่วันละไม่กี่บาท.

ปล.เด๋ยวนี้มันไม่ได้เจ็บเหมือนเมื่อก่อนแล้วครับ รพ.ดีๆก่อนฉีดยาชายังเอาไรมาป้ายให้มันเจ็บน้อยลงอีกครับ.
โพสต์บน Soccersuck V2(Beta)
1
0
หากโดน 40 เรื้อน จะถูกแบน
ออฟไลน์
นักบอลถ้วย ก.
Status:
: 0 ใบ : 0 ใบ
เข้าร่วม: 14 Aug 2012
ตอบ: 4793
ที่อยู่: BKK Thailand.
โพสเมื่อ: Fri Apr 03, 2026 14:50
Re: ปรึกษาเรื่อง ทำฟัน ครับ
GNR พิมพ์ว่า:
30 หมื่น ถือว่า ราคา มาตราฐานแล้วครับ ถ้าไม่อยากเสียเงิน ก็ต้องถอนไปเลยครับ ถ้าตัดใจได้ก็ถอนครับ

อีกวิธี คือ รักษาตามตามคลินิคทันตกรรม ของมหาลัย เช่นมหิดล หรือของที่จุฬางี้ แต่เห็นว่าคิวยาวจัด  

30 หมื่นเลยหรอครับบบบบบบบ.
คิดว่าพิมพ์ผิดแหละครับ หยอกๆ.
โพสต์บน Soccersuck V2(Beta)
0
0
หากโดน 40 เรื้อน จะถูกแบน
ออนไลน์
แข้งบุนเดสลีกา
Status: I am white people of ลุ่มแม่น้ำโขง
: 0 ใบ : 0 ใบ
เข้าร่วม: 14 Aug 2012
ตอบ: 14830
ที่อยู่: Old Trafford
โพสเมื่อ: Fri Apr 03, 2026 14:51
[RE: ปรึกษาเรื่อง ทำฟัน ครับ]
ทันตะ มหิดลเลยครับ

ของจริงเรื่องฟัน
0
0
หากโดน 40 เรื้อน จะถูกแบน
"คุณเป็น Product ของนโยบายยกเลิกการเรียนซ้ำชั้นอะครับ"
ออฟไลน์
ดาวเตะลา ลีกา
Status: Secretary Kim is My Wife
: 0 ใบ : 0 ใบ
เข้าร่วม: 14 Aug 2012
ตอบ: 3371
ที่อยู่:
โพสเมื่อ: Fri Apr 03, 2026 15:00
[RE: ปรึกษาเรื่อง ทำฟัน ครับ]
chonbodee พิมพ์ว่า:
ลองไปปรึกษา คลินิก อื่นดูก่อนก็ได้ครับ

บอกแตกถึงราก จะได้รู้ว่าถึงรากจริงมั้ย

second opinion / third opinion สำคัญ เอาไว้ประกอบการตัดสินใจ

แล้วเราก็ตัดสินใจอีกที

ค่า รักษาราก+เดือย + ครอบ ถ้าลงถึงรากจริงๆ Survival rate การที่ทำแล้วจะใช้งานได้ 10-20 ปีมั้ย

ถ้าไม่


ถอนออกแล้วปักรากเทียม อาจจะคุ้มเงินกว่า (กรณีมองถึงความคุ้มค่า) เพราะเสียตัง พอๆกัน

กรณีฟันแตกถึงรากเนี่ย จริงๆเผลอๆต้อง ตัดเหงือกกรอกระดูกด้วย เพื่อเพิ่มความยาวตัวฟัน ให้ทำครอบได้ด้วย (Crown lengthening)


แต่ไม่ได้เห็นกับตา ก็พูดยากครับ เลยแนะนำว่า ลองตรวจหลายๆที่ดูก่อน เดียวนี้ส่วนใหญ่ตรวจฟรี ไม่ก็เสียค่าเปิดเซ็ทตรวจ 50-100 บาท
 


ขอบคุณมากครับ เดี๋ยวจะลองไปถามหลายๆที่
1
0
หากโดน 40 เรื้อน จะถูกแบน
ออฟไลน์
ดาวเตะลา ลีกา
Status: Secretary Kim is My Wife
: 0 ใบ : 0 ใบ
เข้าร่วม: 14 Aug 2012
ตอบ: 3371
ที่อยู่:
โพสเมื่อ: Fri Apr 03, 2026 15:01
[RE: ปรึกษาเรื่อง ทำฟัน ครับ]
MemberMe พิมพ์ว่า:
ทำเหอะครับ.
ถ้าไม่ทำก็ต้องถอนออก.
ซึ่งมันจะเร่งกระบวนการเหงือกร่น กระดูกกรามยุบ และกรามเปราะครับ.
ผมไม่ใช่หมอนะครับ แต่มีปัญหาคล้ายๆกันแต่หนักกว่าหน่อยตรงฟันกรามในสุดแตกกลางลึกมาก มันทำให้อุดหรือครอบไม่ได้เลยครับ.
ต้องรอมันแตกโพละแล้วก็ถอนไม่ก็รากเทียม เลยได้คุยกะหมอมาครับ.

แค่ไม่กี่หมื่น หารกะเวลาที่ได้ใช้ฟันแบบสบายใจและปัญหาที่ได้เลี่ยงแล้วผมว่าคุ้มสุดๆครับ ตกแล้วอาจเหลือแค่วันละไม่กี่บาท.

ปล.เด๋ยวนี้มันไม่ได้เจ็บเหมือนเมื่อก่อนแล้วครับ รพ.ดีๆก่อนฉีดยาชายังเอาไรมาป้ายให้มันเจ็บน้อยลงอีกครับ.  



มีที่แนะนำไหมครับ
0
0
หากโดน 40 เรื้อน จะถูกแบน
ออฟไลน์
ดาวเตะลา ลีกา
Status: Secretary Kim is My Wife
: 0 ใบ : 0 ใบ
เข้าร่วม: 14 Aug 2012
ตอบ: 3371
ที่อยู่:
โพสเมื่อ: Fri Apr 03, 2026 15:02
[RE: ปรึกษาเรื่อง ทำฟัน ครับ]
Park Yoo Hwon พิมพ์ว่า:
ทันตะ มหิดลเลยครับ

ของจริงเรื่องฟัน  


ของท่านไปทำที่ ซ. โยธี ใช่ไหมครับ ไปในเวลาหรือนอกเวลาครับ

ต้องนัดล่วงหน้าไหมครับ หรือ walk in เข้าไปได้เลย

แล้วทำกับ อาจารย์แพทย์ หรือ นศ. แพทย์ ครับ
แก้ไขล่าสุดโดย Skydragoon เมื่อ Fri Apr 03, 2026 15:02, ทั้งหมด 1 ครั้ง
0
0
หากโดน 40 เรื้อน จะถูกแบน
ออนไลน์
นักเตะกลางซอย
Status: Architec United.
: 0 ใบ : 0 ใบ
เข้าร่วม: 22 Jun 2021
ตอบ: 271
ที่อยู่: หน้าคอมพิวเตอร์
โพสเมื่อ: Fri Apr 03, 2026 15:08
[RE: ปรึกษาเรื่อง ทำฟัน ครับ]
ของผมเป็น ฟันแตก เป็นรูใหญ่เลย ถ้าจากรูปของผมตำแหน่งจะอยู่หน้าจากที่ท่านวงไว้ก่อน ผมจะไปจัดฟันใหม่ เลยไปปรึกษาว่า จะทำยังไงกับฟันแตก หมอเลยอุดให้ก่อนรอดูอาการ ถ้าปวดหรือเป็นหนอง ต้องรักษาหรือไม่ก็ถอนออก โชคดี อุดแล้ว ผมไม่เจ็บและใช้งานได้ แต่ว่าเวลาเคี้ยวผมจะเลี่ยงใช้ ฟันแถวนี้ไปกัดอีกข้างเอา พูดแล้วก็ เสียวเลย
1
0
หากโดน 40 เรื้อน จะถูกแบน


ออฟไลน์
ดาวเตะพรีเมียร์ลีก
Status:
: 0 ใบ : 0 ใบ
เข้าร่วม: 14 Aug 2012
ตอบ: 15569
ที่อยู่:
โพสเมื่อ: Fri Apr 03, 2026 15:30
Re: ปรึกษาเรื่อง ทำฟัน ครับ
ผมฟันกรามแตกซี่บน ครึ่งซี่เหมือนกัน ครอบสีเงินมาประมาณ 6500 ครับ ขั้นตอนจะมีพิมพ์แบบฟัน แล้วนัดอีกรอบประมาณอาทิตย์นึงมาใส่ครอบถาวร ตอนทำเขาจะกรอเนื้อฟันออก ใส่ใส่ครอบไปทั้งฟัน

ก่อนหน้านี้เคยอุดสุดท้ายแตกอีกรอบเพราะมันเป็นฟันกราม รับน้ำหนักเยอะ

ของท่านอาจจะแพงค่ารักษารากฟัน ลองเปลี่ยนคลินิคที่ราคาถูกลงดูครับ สังเกตง่ายๆ คลินิกไหนคิวเยอะๆ ส่วนใหญ่ที่นั่นจะถูก
โพสต์บน Soccersuck V2(Beta)
1
0
หากโดน 40 เรื้อน จะถูกแบน
ไปหน้าที่ 1, 2
ไปที่หน้า
GO
ตั้งกระทู้ใหม่
กรุณาระบุเหตุผลที่จะแจ้งความ
ผู้ต้องหา:
ข้อความ:
Submit
Cancel
กรุณาเลือก Forum และ ประเภทกระทู้
Forum:

ประเภท:
Submit
Cancel